Die Leistungen der Zahnarztpraxis am Wasserschloss in Hofheim am Taunus.

Prophylaxe

Die Prophylaxe dient der Vorbeugung von Erkrankungen der Zähne und des Zahnhalteapparates.

In unserer Praxis legen wir größten Wert auf die Begleitung und Unterstützung unserer Patienten in der häuslichen Mundhygiene. Die bei uns angebotene professionelle Zahnreinigung (PZR) geht deutlich über das hinaus, was jeder Mensch täglich selbst zu Hause erledigen kann.

Unsere speziell geschulten Prophylaxedamen entfernen alle bakteriellen Beläge oberhalb und unterhalb des Zahnfleischsaumes sowie in den engen Zwischenräumen. Wir demonstrieren und üben mit Ihnen die Anwendung verschiedener Hygienehilfsmittel. Bei der Reinigung kommen sowohl moderne Ultraschallgeräte als auch Air-Flow-Pulverstrahler zum Einsatz um ihre Zahnsubstanz zu schonen. Die abschließende Politur und anschließende Fluoridierung stärken die Substanz und machen den Zahn weniger anfällig gegenüber bakterieller oder säurebedingter Schädigung.

Gerne begleiten wir Sie gezielt in unserem Recall-System und stimmen Ihre individuellen Mundhygienetermine mit Ihnen ab!

Parodontitisbehandlung

Als Parodontitis bezeichnet man die Erkrankung des Zahnfleisches, des Kieferknochens und der Gewebebestandteile zur Verankerung des Zahnes im Knochen.

Die Ursache für diese Erkrankung sind harte und weiche, bakterielle Beläge die am Zahnfleischrand und auf den Wurzeloberflächen anhaften. Der Körper reagiert auf diese bakterielle Belastung in Form einer Entzündung. Symptomatisch treten Zahnfleischbluten, Schwellungen und schlechter Geschmack in Erscheinung. Zusätzlich entstehen Zahnfleischtaschen und es kommt langfristig zu einem Knochenabbau.

Für den Patienten verläuft die Parodontitis zunächst meist völlig schmerzlos im frühen Stadium und macht sich häufig erst im fortgeschrittenen Zustand schmerzhaft bemerkbar. Es droht der Zahnverlust.

Zur erfolgreichen Therapie einer Parodontitis gehört neben der professionellen Reinigung (PZR) der Zähne die Beseitigung aller mit Keimen besiedelten Nischen (kariöse Zähne, insuffiziente Füllungen etc.). Durch diese Maßnahmen wird einer erneuten Infektion vorgebeugt und die Regeneration des Gewebes gefördert.
Bei der eigentlichen Parodontitis-Therapie werden dann die auf den Wurzeloberflächen anhaftenden Beläge entfernt. Unter örtlicher Betäubung wird mit Hilfe modernster Ultraschalltechnik und schonenden Handinstrumenten die Reinigung der Wurzeln vorgenommen. Die heutigen Behandlungsmaßnahmen  bereiten dem Patienten meist keinerlei Beschwerden. Bei besonders tiefen Defekten kann gegebenenfalls zu späterem Zeitpunkt eine offene Parodontaltherapie zusätzlich erforderlich werden.

Nach Abschluss der Behandlung ist die Mitarbeit des Patienten entscheidend für den Therapieerfolg.  Eine individualisierte Mundhygiene sowie die Teilnahme an unserem Recall- System führen zur langfristigen Infektionskontrolle und Stagnation der Erkrankung.

Lassen Sie uns gemeinsam Ihre Zähne erhalten und den Bakterien den Kampf ansagen!

Endodontie

Die Endodontie oder auch „Wurzelkanalbehandlung“ dient der Therapie von Erkrankungen des Zahnnervs und dem Zahnerhalt. Die Ursachen für erkrankte oder abgestorbene Nerven sind sehr vielfältig und können unter anderem durch kariöse Defekte, Schleiftraumen oder Unfälle hervorgerufen werden. Auch im Zuge des natürlichen Alterungsprozesses ist eine Degeneration des Zahnnervs möglich.

Während der Behandlung erfolgt nach der Eröffnung des Zahnes die Reinigung der sehr feinen Kanäle des Wurzelkanalsystems. Hierfür werden spezielle Instrumente und Spüllösungen verwendet. Das zusätzliche Einbringen und Wechseln eines Medikamentes kann gegebenenfalls den Heilungsprozess zusätzlich fördern. Sind die Wurzelkanäle abschließend aufbereitet werden sie mit einem biologisch verträglichen Material gefüllt und der Zahn dicht verschlossen um eine Reinfektion zu verhindern. Unser Ziel ist die dauerhafte Erhaltung Ihres Zahnes.

Nach abgeschlossener Therapie empfiehlt es sich den geschwächten Zahn langfristig mit Zahnersatz zu versorgen.

Viele qualitätsoptimierende, moderne Behandlungsmethoden werden nicht von der gesetzlichen Krankenkasse übernommen und müssen von den Patienten privat getragen werden. Gerne geben wir Ihnen hierzu, auf Ihren individuellen Fall angepasst, Informationen und Anregungen.

Bitte sprechen Sie uns an!

Implantologie

Seit über 30 Jahren kommen künstliche Zahnwurzeln, so genannte Implantate, anstelle von fehlenden Zähnen zum Einsatz. Sie werden im Kieferknochen verankert und dienen als Basis für Kronen, Brücken oder als Halteelemente für Prothesen. Auch als Alternative zu herausnehmbaren Prothesen haben sich Implantate bestens bewährt.


Im Jahr 1982 wurde die Implantologie als wissenschaftlich fundierte Therapie von der Deutschen Gesellschaft für Zahn-, Mund- und Kieferheilkunde (DGZMK) anerkannt. Nach Schätzungen werden alleine in Deutschland heutzutage über eine Mio. Zahnimplantate pro Jahr in Patientenkiefern verankert – mit steigernder Tendenz.

Derzeit gibt es weltweit mehr als 250 Implantat-Systeme, davon sind über 100 im deutschsprachigen Raum gebräuchlich. Bis auf wenige Ausnahmen bestanden bislang fast alle aus Titan. Mehr und mehr kommen heutzutage metallfreie Materialien zum Einsatz. Vorreiter sind hierbei Keramik-Implantate aus Zirkonoxid. Diese weisen eine noch höhere Biokompatibilität auf und sind extrem biege- und bruchfest.

Was ist ein Implantat?
Implantate sind künstliche Zahnwurzeln, die fehlende Wurzeln eines Zahnes ersetzen. Sie werden im Kieferknochen verankert und dienen als Basis für Kronen, Brücken oder Prothesen. Dabei können sowohl einzelne Zähne, als auch fehlende Zahnreihen ersetzt werden. Da schon ein einziger fehlender Zahn zu Bewegungen gegenüberliegender Zähne führen kann, sollte er unbedingt ersetzt werden. Für mehrere fehlende Zähne bieten Implantate als Pfeiler von hochwertiger Prothetik die optimale Basis.

Welche Vorteile haben Implantate?
> Im Vergleich zu herkömmlichem Zahnersatz ist kein Beschleifen der gesunden Nachbarzähne nötig.
> Es wird kein Knochen abgebaut, wie es bei fehlenden Zähnen passieren würde.
> Implantate stellen hinsichtlich Funktion, Haltbarkeit und natürlichem Aussehen die optimale Versorgung dar.
> Implantate ermöglichen festen Prothesenhalt und somit die komfortabelste Versorgung.
> Durch die vielseitigen Kombinationsmöglichkeiten (Einzelimplantat, Pfeilerkonstruktion, etc.) bieten Implantate bei nahezu allen prothetischen Fragestellungen eine hochwertige Lösung.

>> Kann jeder ein Implantat bekommen?
Man kann heute nahezu jedem Patienten eine Implantation ermöglichen. Die wichtigste Voraussetzung stellt ausreichendes Knochenvolumen dar, damit das Implantat einen festen Halt hat. Abgesehen von gibt es Personengruppen, bei denen Implantationen mit höheren Risiken verbunden sind, z.B. Personen mit starken Gesundheitseinschränkungen, Alkohol- oder Drogenabhängige sowie Raucher. Somit solle der Implantatpatient an einem regelmäßigen Recall-System teilnehmen.

>> Was passiert bei nicht ausreichendem Knochenvolumen?
Ist dies nicht ausreichend Knochen vorhanden, kann dieser ggfls. künstlich aufgebaut bzw. das bereits bestehende Knochenvolumen verstärkt werden. Im Unterkiefer geschieht das durch so genannten Knochenaufbau (Augmentation): Dabei wird entweder aus geeigneten Bereichen Knochen entnommen oder es werden Knochenersatzmaterialien verwendet. Im Oberkiefer ist manchmal ein Sinuslift nötig. Dabei wird die Schleimhaut der Kieferhöhle angehoben, um besseren Halt für das Implantat zu schaffen.

>> Wieviel kostet eine Implantation?
Die Kosten einer Implantatbehandlung hängen von vielen Faktoren ab. Die Kosten werden je nach Zahl der einsetzbaren Implantate, je nach der Schwierigkeit der Behandlung und je nach der Qualität der Prothesen oder des Zahnerhaltes kalkuliert. Vor der Behandlung wird Ihnen einen Kostenvoranschlag erstellt.

Zahnersatz

In Arbeit

Intraoralkamera

Mit Hilfe der Intraoralkamera demonstrieren wir Ihnen Live-Aufnahmen aus Ihrem Mund. Perspektiven, die so vor dem heimischen Spiegel nicht zu sehen sind - vergrößert und gestochen scharf - liefern die Grundlage für eine nachvollziehbare und transparente Darlegung von Befunden und Therapien.

Zahnästhetik

Sie wünschen sich ein strahlendes, bezauberndes Lächeln?

Die ästhetische Zahnheilkunde ermöglicht eine Fülle von Verschönerungen der Zähne oder ihrer Zahnstellung. Hierzu zählen Veneers, Inlays, Kronen und Brücken sowie Schienentherapie zur Stellungskorrektur der Zähne.

> Veneers:
Hierbei handelt es sich um hauchdünne, lichtdurchlässige Keramikschalen, die hauptsächlich im Frontzahnbereich ihre Verwendung finden. Die Herstellung erfolgt in engster Zusammenarbeit mit unserem deutschen Meisterlabor. Veneers ermöglichen eine leichte Stellungskorrektur, das Schließen kleinerer Lücken sowie die perfekte Optimierung der Zahnoberflächen.
Ein strahlendes Lächeln wird greifbar.

> Inlays:
Diese Einlagefüllungen werden zum Beispiel aus Keramik gefertigt und verschließen Defekte die nicht mehr mit Hilfe einer Füllung versorgt werden können. Auch diese Arbeit wird in unserem deutschen Meisterlabor hergestellt.

> Harmonieschienen
Sie stören sich an Fehlstellungen Ihrer Zähne? Wünschen sich ein neues Lächeln?

Hierfür arbeiten wir mit der Firma Orthos zusammen. Mit Hilfe des Harmonieschienen- Systems können leichte bis mittlere Fehlstellungen bei Erwachsenen korrigiert werden. Die Schienen sind sehr angenehm zu tragen und fast unsichtbar. Die Patienten tragen diese Schienen über mehrere Monate bis die Zähne schonend in ihrer Endposition angekommen sind.

Bei weiteren Fragen, sprechen Sie uns gerne an.

Bleaching

Ihnen ist neben einem gesunden Gebiss auch ein strahlendes, sympathisches Lächeln wichtig?

Gerne versuchen wir Ihre Vorstellung Realität werden zu lassen.

Im Laufe der Jahre können Zähne ihre natürliche Zahnfarbe verlieren oder verändern. Die Ursachen hierfür sind sehr vielfältig. Der natürliche Alterungsprozess, individuelle Ernährungsgewohnheiten oder Nikotinkonsum aber auch Wurzelkanalbehandlungen können Pigmentierungen bewirken.
Diese nicht gewollten Pigmentierungen lassen sich mit Hilfe des „Bleachings“, also dem Aufhellen der Zahnsubstanz, beseitigen.

Hierfür werden Carbamidperoxid oder Wasserstoffperoxid verwendet. Externes Bleaching beschreibt die Aufhellung des Zahnes durch diese Materialien von Außen. Internes Bleaching ist die Methode der Wahl bei wurzelkanalbehandelten Zähnen. Die störenden Farbpigmente werden zersetzt und der Zahn erscheint somit wieder heller.

Vor Durchführung jeglicher Bleachingmaßnahmen wird von uns ihr Mundgesundheitszustand überprüft.

Haben wir Ihr Interesse geweckt, sprechen Sie uns gerne an!

Kinderzahnheilkunde

Als Eltern von zwei kleinen Töchtern sorgen wir uns natürlich auch besonders um die „kleinsten“ Patienten. Und damit meinen wir nicht nur die Kindergartenkinder sondern auch wirklich die „Kleinsten“. Nach Empfehlungen der Bundeszahnärztekammer sollte die erste zahnärztliche Kontrolle mit Durchbruch des 1. Zahnes erfolgen.

Bei diesen Frühuntersuchungen geht es neben der Sichtkontrolle um die Aufklärung der frischgebackenen Eltern. Wir besprechen die Mundhygiene- Maßnahmen für Babys und geben Ernährungsinformationen. Unser Ziel ist es die kleinen Patienten von Beginn an zu betreuen und durch regelmäßige prophylaktische Maßnahmen zu einer bestmöglichen Mundgesundheit zu gelangen.

Eine spezielle Kleinkindsprechstunde bieten wir Freitags ab 13 Uhr.

Wir freuen uns auf Sie!

Schwangerenprophylaxe

„Jede Schwangerschaft kostet einen Zahn?“

Dieses möchten wir gemeinsam mit Ihnen liebe, werdende Mamas verhindern.

Durch die hormonellen Einflüsse in dieser spannenden Zeit kommt es auch zu Veränderungen in der Mundhöhle. Das Zahnfleisch kann anschwellen oder leicht bluten. In diesem Fall spricht man von einer Schwangerschaftsgingivitis. Jetzt ist der richtige Zeitpunkt um einzugreifen, damit Folgeschäden an den Zähnen und dem Zahnfleisch verhindert werden können.

Zu unserer Vorsorge bei schwangeren Patientinnen gehören neben einer gründlichen Mund- und Schleimhautinspektion die professionelle Säuberung der Zähne. Leichte Zahnfleischentzündungen können so frühzeitig erkannt und ein Voranschreiten verhindert werden. Der Vorbeugung einer Parodontitis sollte ein hoher Stellenwert beigemessen werden, da in vielen Studien inzwischen nachgewiesen werden konnte, dass sich das Risiko einer Frühgeburt bei diesen Patientinnen deutlich erhöht.

Alle weiteren Behandlungen versuchen wir zum Schutz des Ungeborenen und der werdenden Mutter auf die Zeit nach der Schwangerschaft zu verlegen. Wir empfehlen Ihnen die Kontrollen und professionellen Reinigungen Ende des 1. und Anfang des 3. Trimenon vornehmen zu lassen.

Bei weiteren Fragen sprechen Sie uns gerne direkt an!

Digitales Röntgen

Wir bieten Ihnen in unseren frisch renovierten Praxisräumen modernste Röntgentechnik mit digitalen Systemen.

Entsprechend der gegebenen Indikation können wir neben kleineren digitalen Einzelzahnaufnahmen auch digitale Panoramaschichtaufnahmen sowie Kiefergelenksaufnahmen erstellen. Unsere Geräteschaften sind erweiterungsfähig und bieten uns somit auch in Zukunft die Möglichkeit bei Notwendigkeit  DVT- Aufnahmen (digitale Volumentomographie) anzufertigen.

Die Vorteile des digitalen Röntgens:
> Strahlenreduktion gegenüber herkömmlichen, analogen Verfahren
> die Aufnahmen liegen uns direkt vor. Die Entwicklung und somit auch die Verwendung von Chemikalien fällt weg.
> Die Bilder können sofort an jedem Netzwerk-PC abgerufen und besprochen werden
> eine Übermittlung an ärztliche Kollegen kann in wenigen Minuten erfolgen

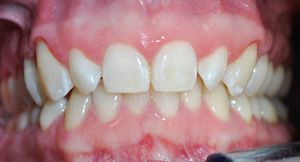
ICON – Kariesinfiltration / Beseitigung von White Spots

Das Prinzip der Kariesinfiltration ermöglicht, beginnende kariöse Läsionen „ohne Bohren“ zu therapieren. Hierbei wird die sogenannte Initialläsion mit einem ultrafließfähigen Kunststoff aufgefüllt, versiegelt und somit im Keim erstickt. Gerne prüfen wir, ob die Therapie für Sie sinnvoll sein kann.

Das Präparat ICON ermöglicht zudem ästhetisch störende White Spots vollständig zu rehabilitieren. Dies geschieht schonend, d.h. ohne Schädigung der Zahnsubstanz und führt zu vorhersagbaren Ergebnissen. Die dargestellten Fotos zeigen 2 Fälle aus unserer Praxis:

Patient 1 (vorher/nachher):

    

Patient 2 (vorher/nachher):